Felipe Cabrera

0 %
Felipe Cabrera
Software Engineer
Python - C# Developer

Languages
Portuguese
English
Programming
Python
C#
Unity
Java
Knowledges
  • Artificial Intelligence
  • Data Science
  • Software Automation
  • Software Engineering
  • Project Management
  • Design Patterns

MRI Reconstructor

Artificial Intelligence, Python

Project details

Description

This was my master's thesis project

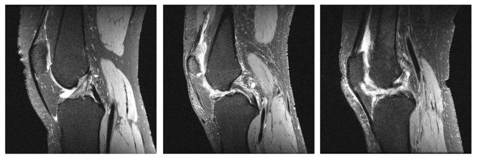
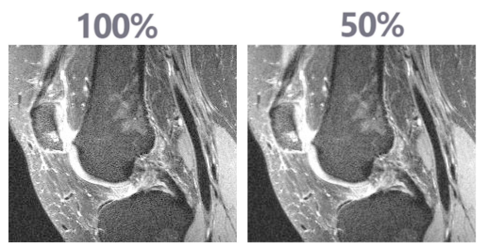
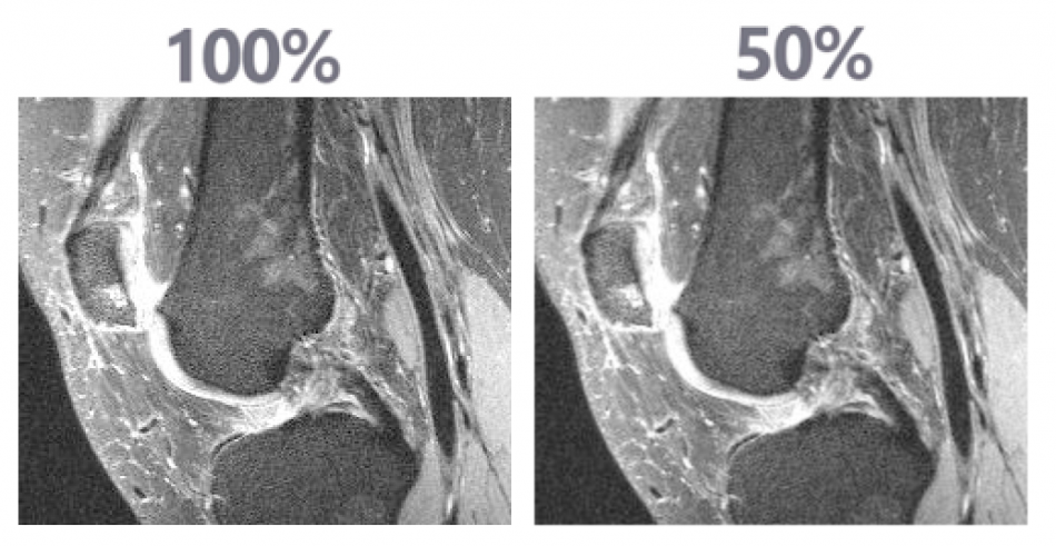
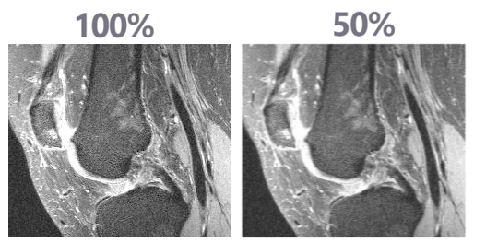
The medical image modality of magnetic resonance imaging (MRI) plays an increasingly important role in modern medicine, despite the high costs of these exams when compared to the decreasing costs of other imaging exams. Despite advances and investments in technologies, the attempt to take advantage of these studies in cost reduction is still modest in recent years.

This research proposal aims to study and evaluate the reconstruction of MRI images with subsampled data in the frequency space (K space) through artificial intelligence (AI), with reduction of the examination time and consequently the exam costs. This study compares the feasibility and efficiency in different percentages of the sample. 

The raw data in K space was sampled in a controlled way to reconstruct the images, resulting in an image with sparse data reducing the number of image information. Then, the sparse data undergoes a reconstruction process through AI techniques such as Deep Learning (DL). 

The proccess resultss was compared to the original image, analyzing the image efficiency through reconstructed quantitative measures. In this work, the division of the image into separate rows and columns was used and worked as single sequences. 

These sequences were used as input to a neural network and reconstructed to form the original sequence, before subsampling. Finally, an algorithm was used to join these sequences and shapes to the new rows and columns of the reconstructed image. 

The results of this process were compared with the original image, analyzing the image efficiency obtained through quantitative measures of the quality of the reconstructed images, in this case, the structural similarity index (SSIM) and the mean square error (mean square error) - MSE), for the different subsampling weights in the K space. 

Therefore, with this study, it was possible to obtain a more effective method than the conventional method, reducing the time required for this process.

Recommendations

Tulio Borges
Tulio Borges

Felipe is an excellent programmer, I needed an application and they recommended it to me, now I am recommending it. A great professional, very capable and who masters the necessary skills for his area. Very attentive and patient, he knew how to understand what I wanted and develop the app the way I expected.

Uillian Ludwig
Uillian Ludwig

I worked with Felipe on some projects where he, in addition to demonstrating a high managerial capacity, demonstrates a great technical level, which makes him a complete professional. In addition, he has knowledge of both industry and academia, which helps a lot in work discussions, as we can bring together the best of both sides.

Bruno Ervilha
Bruno Ervilha
Felipe is a competent, dedicated and very well prepared professional. Totally valued the integrity of the project and showing dexterity with a final product of quality and excellence. We will certainly do business again!
Leonardo Fonseca
Leonardo Fonseca

I highly recommend Felipe! In addition to great knowledge in the area of ​​game development, he is always up to date. As a study companion, he is very didactic and dedicated. Good knowledge and experience in reverse engineering. All in all, an excellent professional.

Gabriel Silva
Gabriel Silva

Working with Felipe on various projects, I discovered how capable and professional he is. Always attentive to deadlines and quality. A professional who never stops studying and, therefore, is always up to date and fully prepared for the market.

Miguel Scarpini
Miguel Scarpini

A very committed and confident person in many subjects. I had the opportunity to witness several academic projects which, always with great mastery, demonstrated mastery. As a professional, in addition to always being well suggested, he performs his tasks with aptitude and agility.

Leonardo Machado
Leonardo Machado

Felipe is one of the most creative and self-taught people I know. He has extensive knowledge in a variety of applied areas of information technology, alongside his proven excellence in the C# and Python programming languages, and his ability to develop and implement operations and products based on artificial intelligence. Highly qualified, very helpful, generous and easy to work with.

Alisson Bolsoni
Alisson Bolsoni

Felipe is an extremely committed person to any project he is involved in. He always tries to deliver his tasks on time and in the best possible way. Great person to have on a work team.

Raphael Aloi
Raphael Aloi

Felipe is an excellent professional. High technical knowledge and great teamwork. He helps a lot, he doesn't have bad time. Highly recommended!!

Verônica Andrade Ragusa
Verônica Andrade Ragusa

Very competent and attentive professional to the point of developing a complete system for the required needs.

Matheus Dellan
Matheus Dellan

I hired Felipe for a freelance job, he was very patient and professional, he did everything as agreed, with great quality. I strongly recommend

10 +
Years Experience
50 +
Completed Projects
50 +
Happy Customers
100
 Success Rate

Ready to order your project?

Let's work together!
Contact me
© 2023 All Rights Reserved.